跳到内容

ダイヤモンドナイフ・カーボン両面テープ他、電子顕微鏡試料作製用材料器具販売

  • ログイン
  • 新規会員登録
  • ご利用ガイド
  • お問い合わせ
  • HOME
  • 新着情報(2/6更新)
    • 新着情報(1/6)
    • 新着商品(2/6)
  • 製品情報
    • カーボン両面テープ
    • ダイヤモンドナイフ
    • cryo電子顕微鏡関連
    • 電顕調整用品(倍率測定用試料、他)
    • 試料作製用品(ピンセット、グリッド、他)
    • 試薬・樹脂
    • 固定・包埋・染色用器具、器材
    • トリミング・薄切用器具
    • 蒸着・薄膜用器具、材料
    • SEM用器具、器材
    • 書籍 / DVD
    • 解剖実習関連用品・設備
  • 価格一覧表
  • 会社概要
  • リンク
    • 関連リンク
    • Distributors
  • SDS
  • Contact Us

语言

account cart
购物车中的商品总数: 0 0
  • HOME
  • 新着情報(2/6更新)
    • 新着情報(1/6)
      新着商品(2/6)
  • 製品情報
    • カーボン両面テープ
      ダイヤモンドナイフ
      cryo電子顕微鏡関連
      電顕調整用品(倍率測定用試料、他)
      試料作製用品(ピンセット、グリッド、他)
      試薬・樹脂
      固定・包埋・染色用器具、器材
      トリミング・薄切用器具
      蒸着・薄膜用器具、材料
      SEM用器具、器材
      書籍 / DVD
      解剖実習関連用品・設備
  • 価格一覧表
  • 会社概要
  • リンク
    • 関連リンク
      Distributors
  • SDS
  • Contact Us
  • 语言

    Access Denied
    IMPORTANT! If you’re a store owner, please make sure you have Customer accounts enabled in your Store Admin, as you have customer based locks set up with EasyLockdown app. Enable Customer Accounts
    跳至产品信息
    CLEM/vEM特化樹脂 R221®
    CLEM/vEM特化樹脂 R221®
    CLEM/vEM特化樹脂 R221®
    CLEM/vEM特化樹脂 R221®
    CLEM/vEM特化樹脂 R221®
    CLEM/vEM特化樹脂 R221®
    1/6
    • CLEM/vEM特化樹脂 R221®
    • CLEM/vEM特化樹脂 R221®
    • CLEM/vEM特化樹脂 R221®
    • CLEM/vEM特化樹脂 R221®
    • CLEM/vEM特化樹脂 R221®
    • CLEM/vEM特化樹脂 R221®
    CLEM/vEM特化樹脂 R221®

    CLEM/vEM特化樹脂 R221®

    お問い合わせフォームはこちら

    配送について

    返品について

    四酸化オスミウム無し極低濃度グルタルアルデヒド、酢酸ウラニルで高コントラスト電顕画像を得られる樹脂です。

    樹脂内で蛍光を保持します。

    ・商品画像(左上から)

    1.商品イメージ

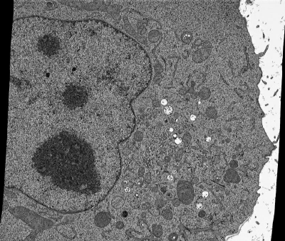
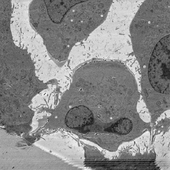
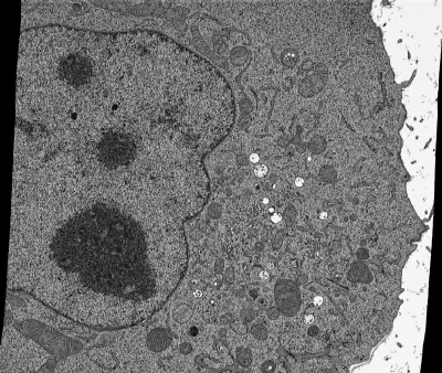
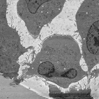
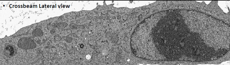
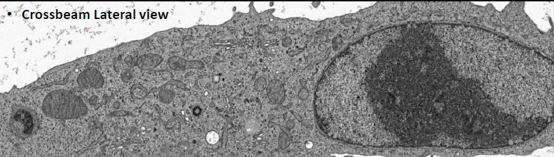
    2~4 R221®樹脂に包埋された各種サンプルのボリューム電顕画像

    Various samples were High Pressure Frozen using the HPM Live μ® , freeze substituted using 0.05% of Urany Acetate , 0.1% of Glutaradehyde and 5% H2O in dry acetone , then embedded in R221 prior to various image volume imaging methods :
    - vEM on the cell monolayer using either a SigmaVP SEM or a Zeiss Crossbeam 540 SEM

    2. 3View2XP (Gatan) top view, Sigma VP SEM (Zeiss)

    Voltage: 2kV; High Current: Off; Aperture: 30micron; Pressure: 8 Pa (N2gas); Magnification: 7500; Contrast: 8; Brightness: 5; Frame size: 8192 x 8192; Pixel size: 4.3nm; Dwell time: 3 μs; Slice thickness: 100 nm

    3. Zeiss Crossbeam 540 SEM top view, Atlas 5 for 3D tomography acquisition (Zeiss)

    4. Crossbeam Lateral view

    Accelerating voltage: 1.5 keV; Current: 1 nA; EsB detector (1200 V grid); Frame size: 4139x1549 (rotated); Pixel size: 5 nm; Slice thickness: 5 nm; Dwelltime: 10 μs

    5~6 R221®樹脂に包埋されたサンプルを用いたCLEM

    Various samples were High Pressure Frozen using the HPM Live μ®, freeze substituted using 0.05% of Urany Acetate , 0.1% of Glutaradehyde and 5% H2O in dry acetone , then embedded in R221 prior to various image volume imaging methods :
    -TEM @ 80kV of a 90nm ultrathin section , without post-staining
    -Confocal microscopy , 3View with a Sigma VP, Crossbeam 540, and data merging usng eC-CLEM.

    Technai 12, 80kV, 90nm thin section. No post-staining.

     

    →CryoCapCell社ウェブサイト

    ※価格・納期はお問い合わせください。


     

    あなたにオススメの商品

    Invalid password
    Enter
    Nisshin-EM
    付款方式
    • American Express
    • Mastercard
    • Visa

    会社概要

    日新EM株式会社

    〒160-0007
    東京都新宿区荒木町23番地9
    TEL:03-3355-3001
    FAX:03-3353-2888

    MENU

    メインメニュー(新テーマ)
    • HOME
    • 新着情報(2/6更新)
    • 製品情報
    • 価格一覧表
    • 会社概要
    • リンク
    • SDS
    • Contact Us

    SHOP GUIDE

    页脚菜单
    • 基于特定商业交易法的符号
    • 隐私政策
    • 用户指南
    © 2026 Nisshin-EM, Powerd by Shopify
    おすすめ商品
    • AutoGridピンセット
      AutoGridピンセット

      AutoGridピンセット

      ¥0 (税込) ¥0 (税抜)
    • C-flat ™ 多孔碳网格
      C-flat ™ 多孔碳网格 C-flat ™ 多孔碳网格

      C-flat ™ 多孔碳网格

      ¥0 (税込) ¥0 (税抜)
    • CLEM/vEM特化樹脂 R221®
      CLEM/vEM特化樹脂 R221® CLEM/vEM特化樹脂 R221®

      CLEM/vEM特化樹脂 R221®

      ¥0 (税込) ¥0 (税抜)
    • 低温干燥 25°
      低温干燥 25° 低温干燥 25°

      低温干燥 25°

      ¥858,000 (税込) ¥780,000 (税抜)